Author: Admin
Retinal detachment- Will I lose my eyesight?
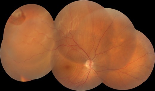
What is a retinal detachment? A retinal detachment or separation of the retina from the eye wall is a very serious condition. It results from fluid seepage under the retina through a hole or a tear in the retina, which may happen with old age, eye injury, and in some other retinal diseases. Initially, a...
World Sight Day- a day to pledge to take good care of your eyes
This World Sight Day,stop for a minute and pledge to take care of the sense organ that opens the wonders of the world to you!Remember, eye care is essential – not optional. #love your eyes Time to get a detailed eye exam if you or your near and dear ones have… Glasses with high power Difficulty...
Monkeypox and the eye
Monkeypox Virus – What are the eye problems associated with the new epidemic?Monkeypox virus infection starts with fever, headache, swelling of the lymph nodes, back pain, body aches, and severe tiredness or lack of energy. This is followed by the appearance of a rash, most commonly on the face and limbs, including the palms and...
Diabetic Retinopathy – Silent Thief of Sight
A large number of individuals with diabetes suffer from loss of vision and distorted vision due to the effect of diabetes on the eye. The problem is called diabetic retinopathy. In the initial stages, diabetic retinopathy does not have symptoms and is only detected on routine screening. Later on, it causes distorted vision from swelling...
World Braille Day- Remembering Louis Braille
January 4th is celebrated every year as World Braille Day in memory of Louis Braille (who was born on this day in 1809 in France). Louis became blind after a childhood accident at the age of 10. Instead of despairing at his tragedy, he created a reading and writing system based on touch. He invented...
Diabetic retinopathy and diabetic macular edema
Diabetes affects several organs of the body, like kidneys, heart, nervous system, and most importantly, the eyes. Patients having diabetes are at risk of several eye problems, some of which can cause vision loss. The most serious diabetic eye problem is diabetic retinopathy. This results from damage to the blood vessels of the back part...
Screen use in Kids
Did You Know?Fact:American Academy of Pediatrics recommendations for acceptable screen time for children are :No screen time for children under 2 years of age;1 hour per day for children aged 2 to 12 &2 hours per day for teens.Prolonged continuous near work can induce/increase myopia.Outdoor activities can reduce the progression of spectacle numberMyths:Blue filters are...
Have your kids had an eye check up recently?
A growing number of kids nowadays have errors of refraction- commonly referred to as ‘glass numbers’. The most common ‘glass numbers’ are minus powers or myopia. Some kids also have cylindrical numbers. Children with spectacles or eyeglasses need regular eye check-ups to ensure that they are wearing the correct number and that their vision is...
Conjunctivitis can indicate COVID infection. Beware!
Conjunctivitis can indicate COVID infection. Beware! Every minute detail of personal and social hygiene is important in the present situation when humans struggle to breathe safely amidst COVID-19 pandemic. Monsoon has struck major parts of the country, bringing relief from the scorching heat. At the same time, the onset of this season brings an increased...
